What is cavernoma?

A definition of Cavernoma

Image
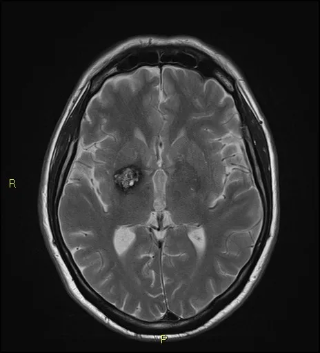
Image of Brain scan showing Cavernoma
Scan image of a cavernoma in the brain

Definition

A cavernoma is a cluster of blood vessels that form blood-filled ‘caverns’ in the brain that look like a raspberry. Cavernomas can bleed into the brain and cause a stroke. Cavernomas can also cause a seizure or epilepsy. These symptoms may lead to disability, handicap and occasionally death. About 160 people in the UK each year are diagnosed with a cavernoma that has caused symptoms. In standard practice in the UK, about one fifth of people with cavernomas have ‘active treatment’ with either brain surgery to remove a cavernoma or stereotactic radiosurgery to treat it with radiation.